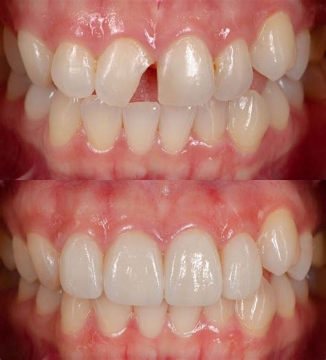
Tara Gomes Blog